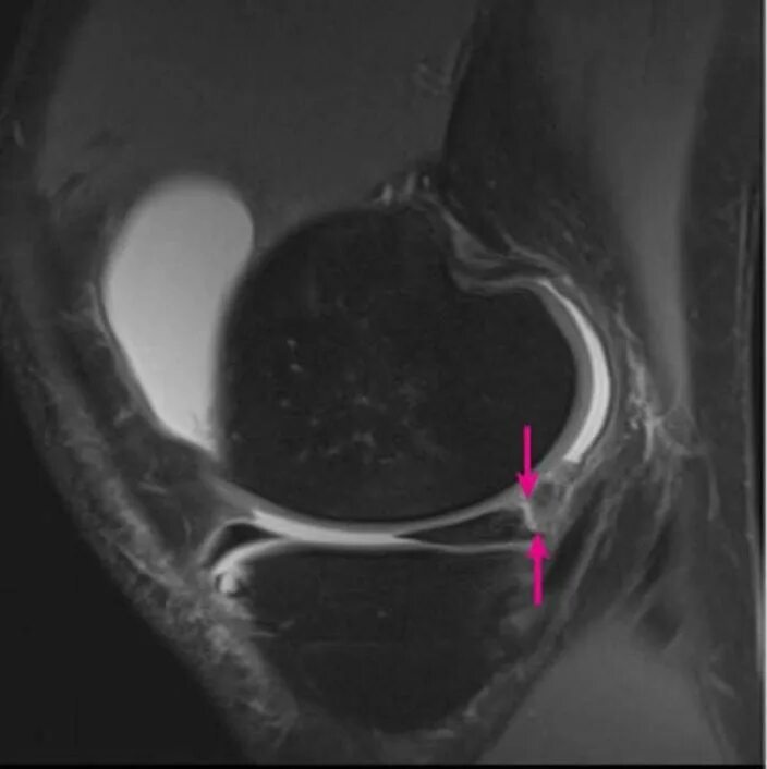
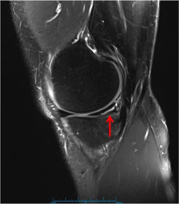
Повреждение мениска мрт