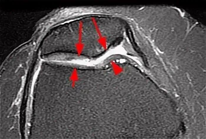
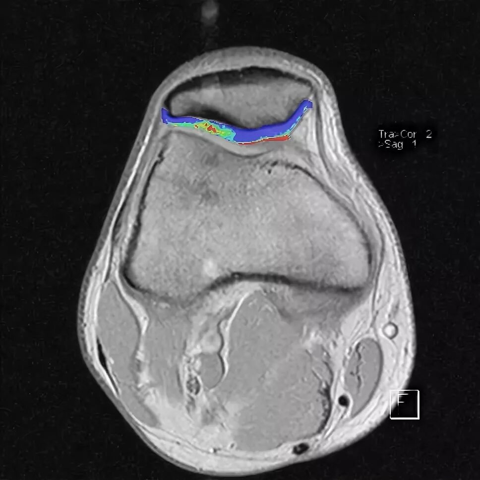
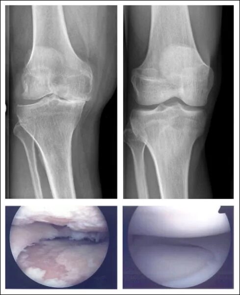
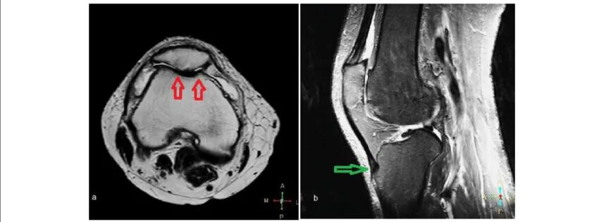
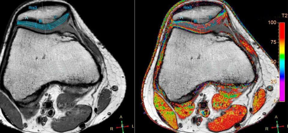
Повреждение хряща по outerbridge