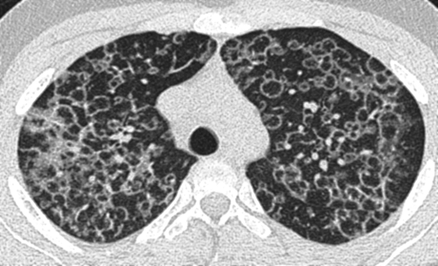
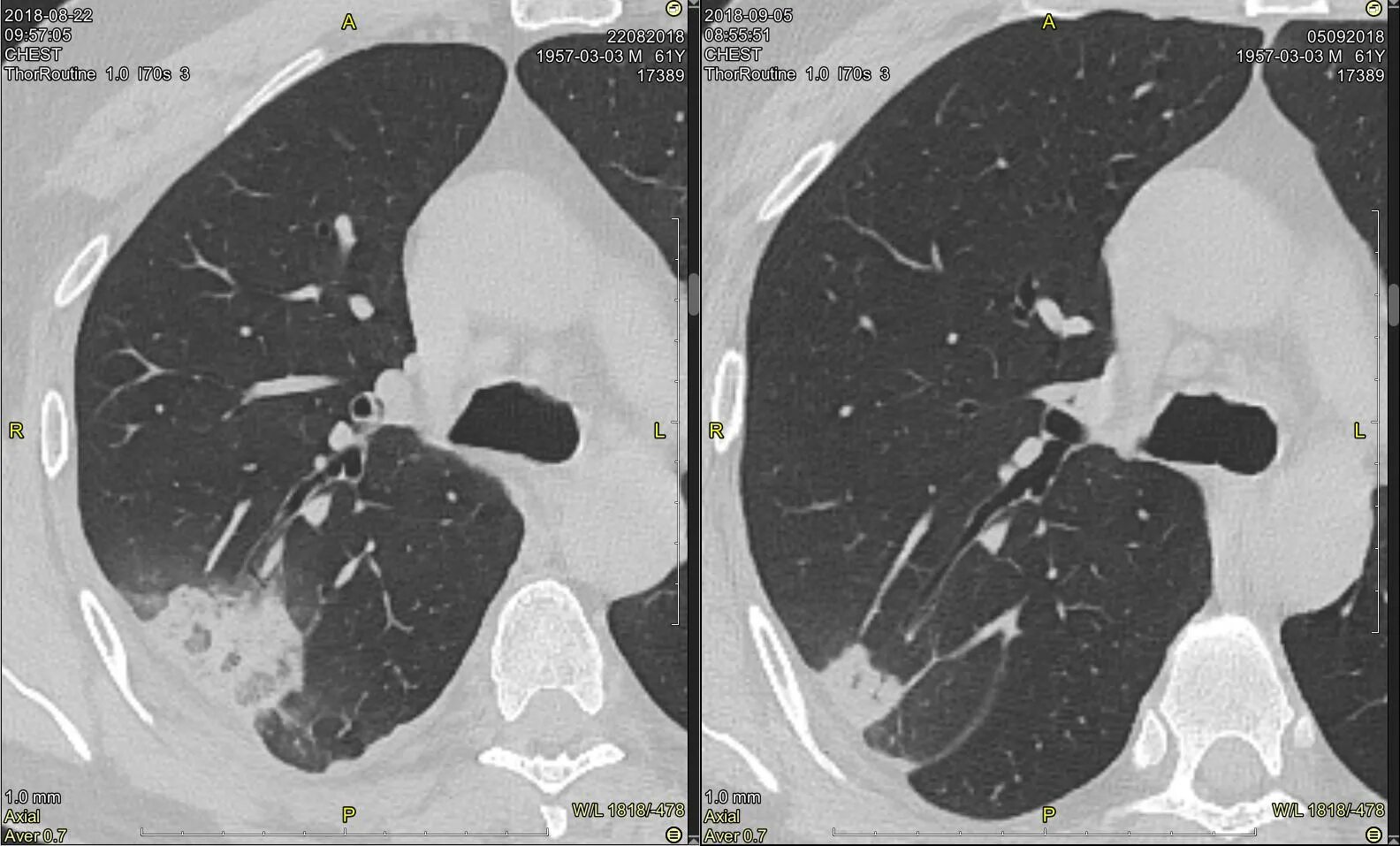
Поствоспалительные изменения в легких на кт