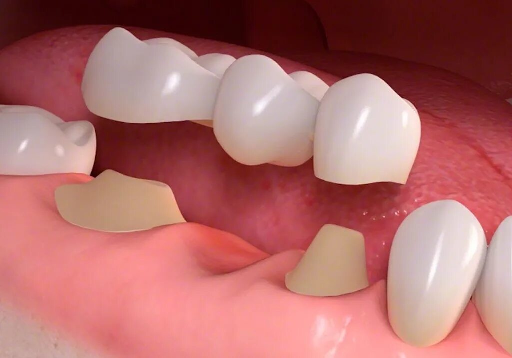
Поставить зубную коронку