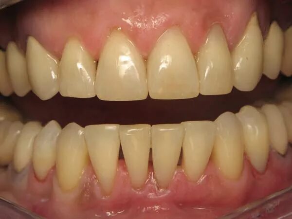
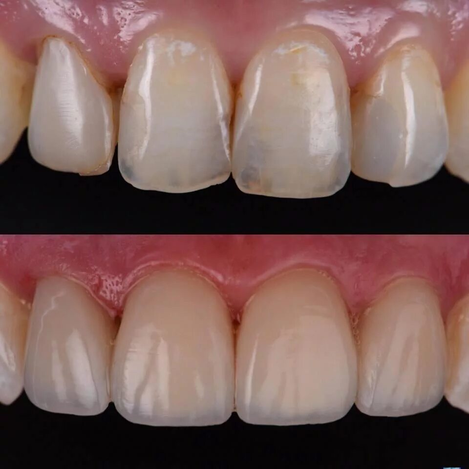
Последствия реставрации