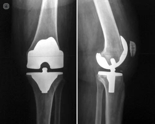
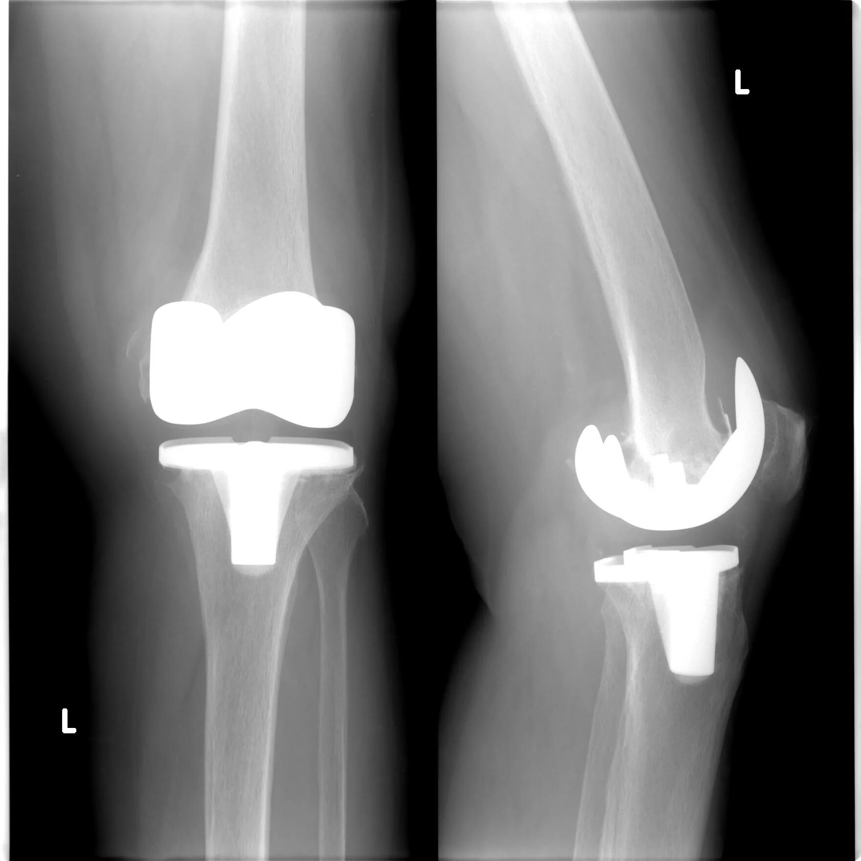
После тотального эндопротезирования коленного сустава