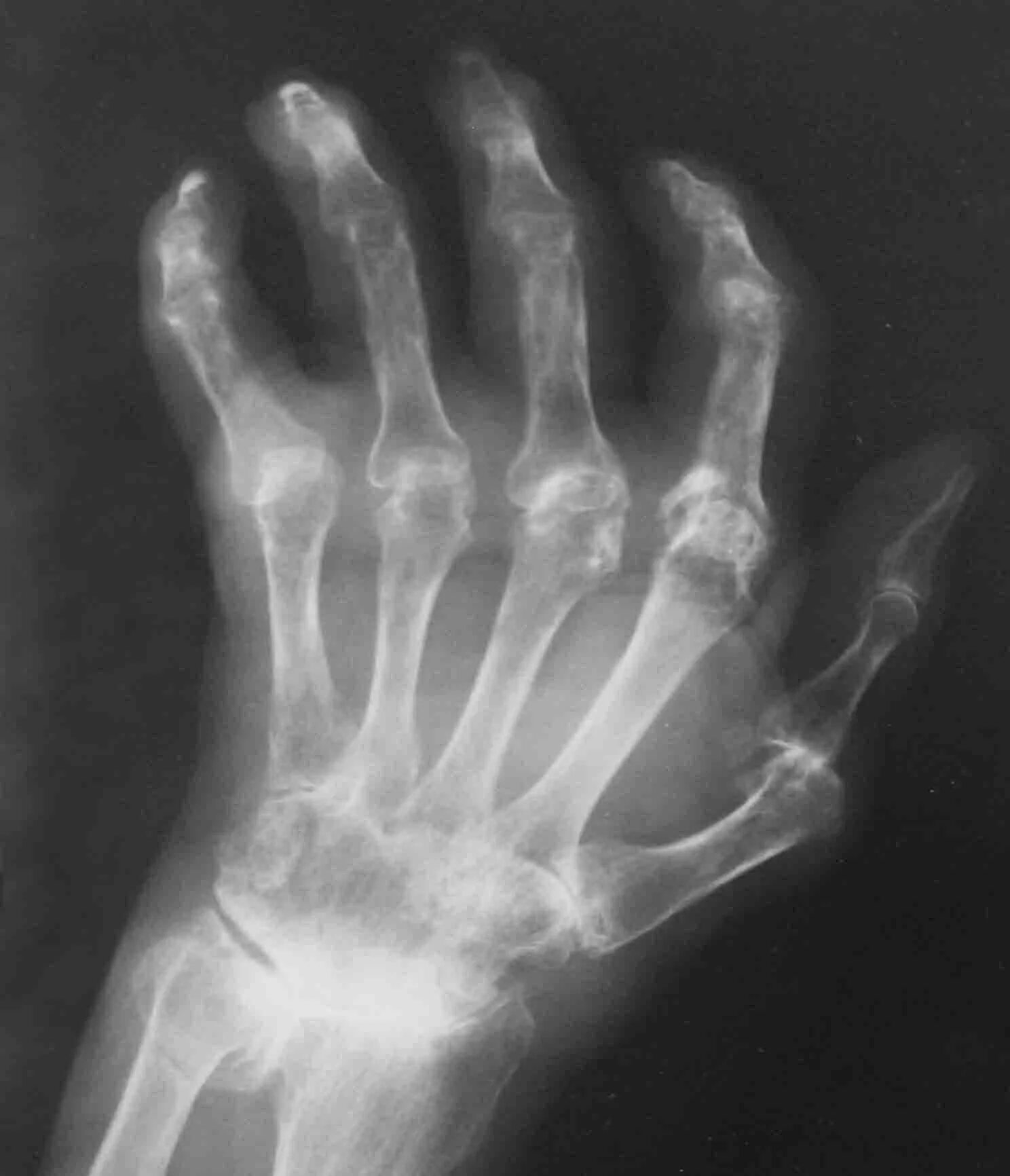
Поражение пястно фаланговых и проксимальных межфаланговых суставов