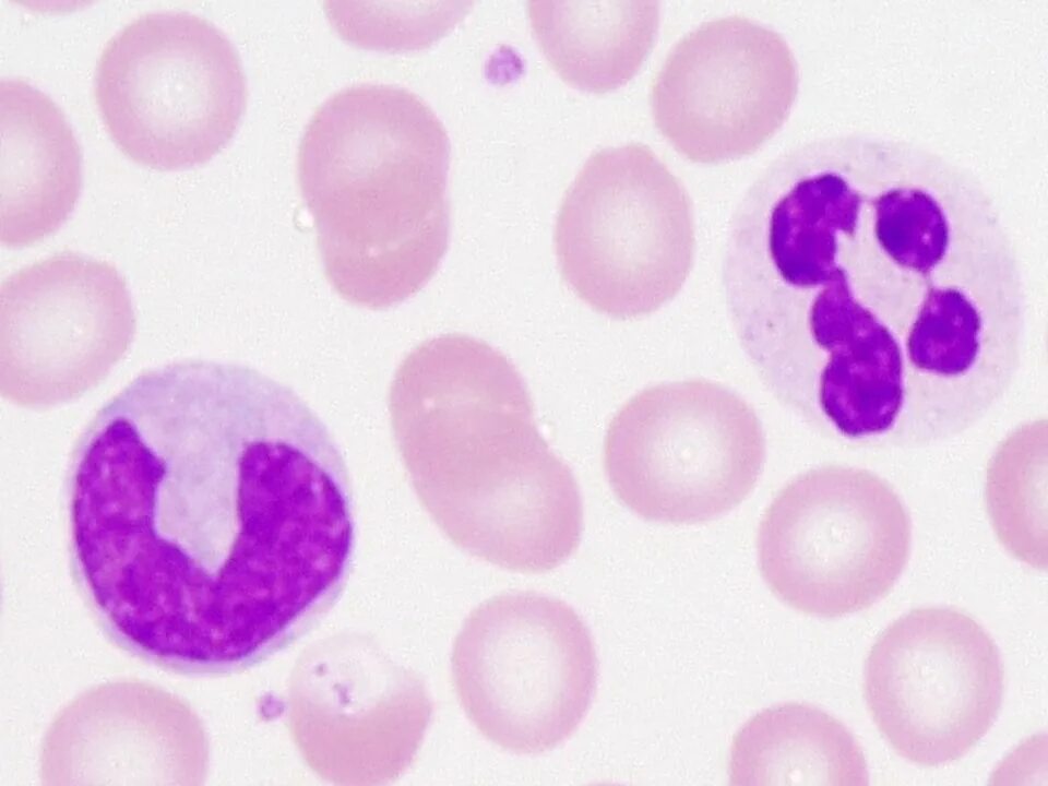
Пониженные нейтрофилы и эритроциты