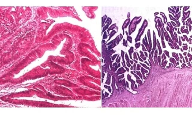
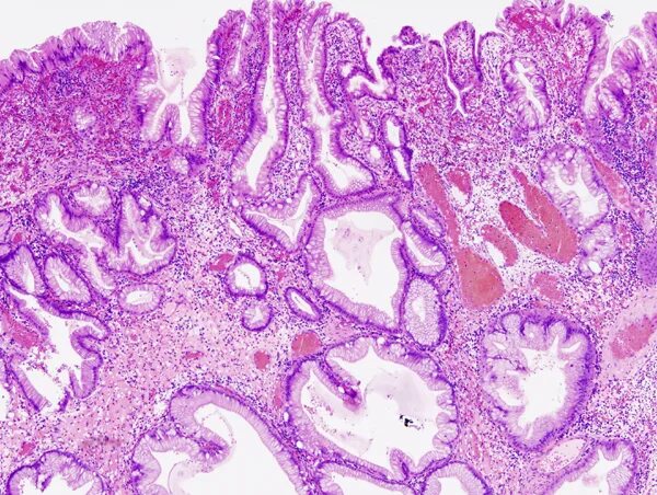
Полип микровезикулярного типа толстой кишки