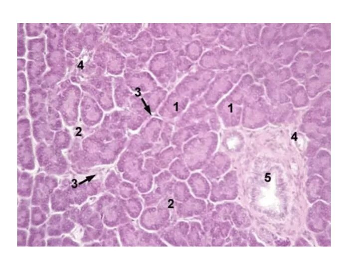
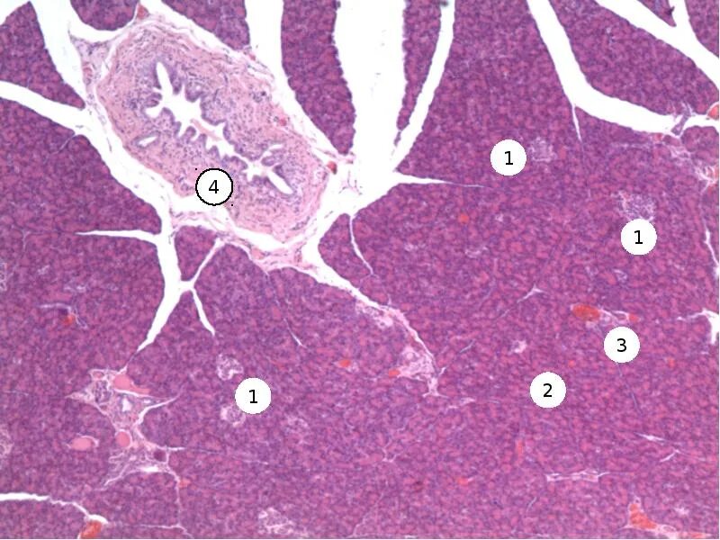
Поджелудочная препарат гистология