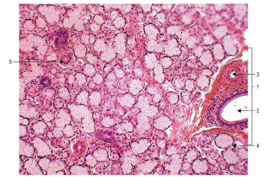
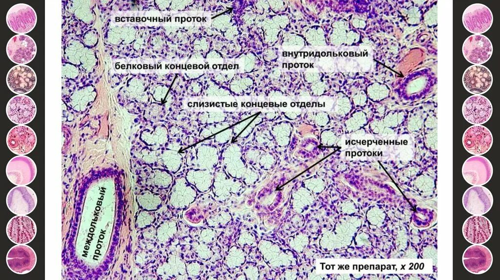
Подъязычной железы гистология