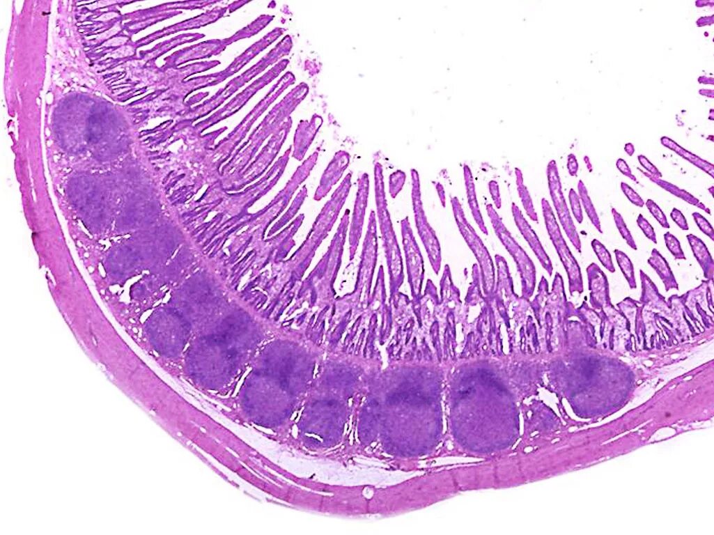
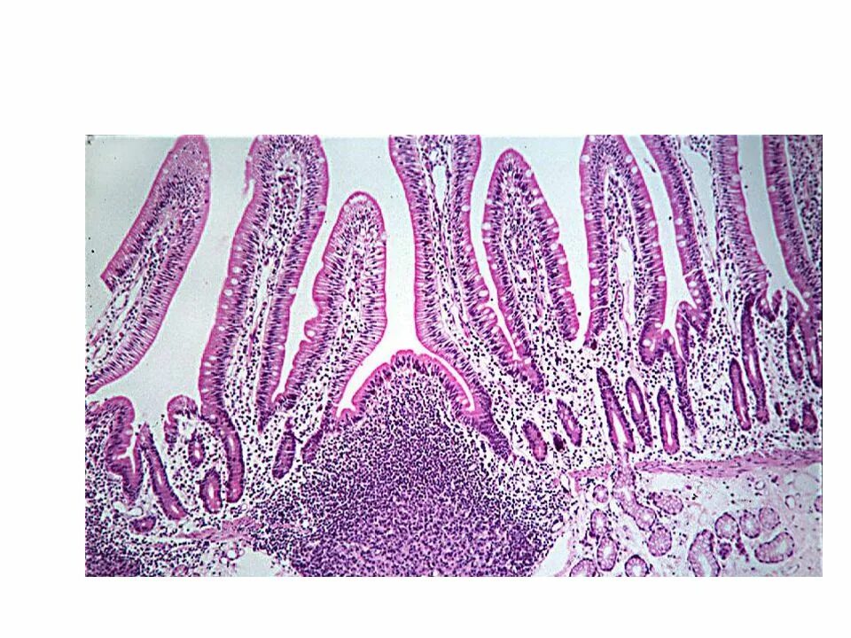
Подвздошная кишка гистология