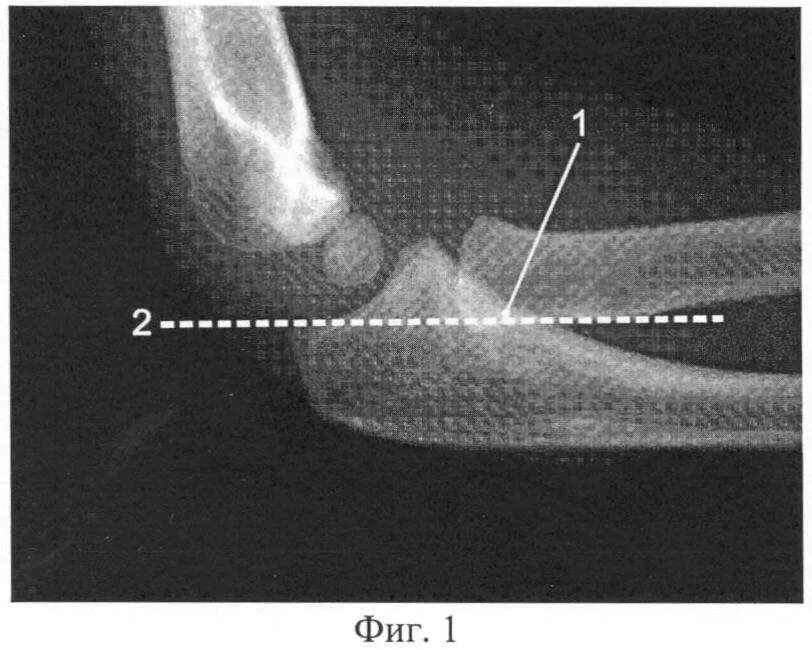
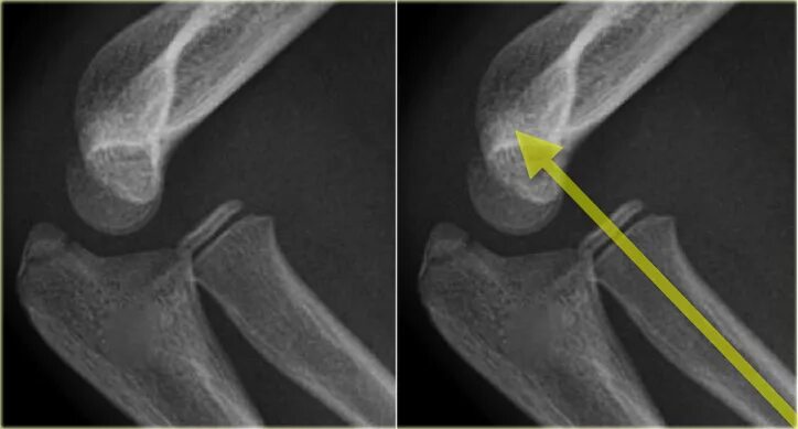
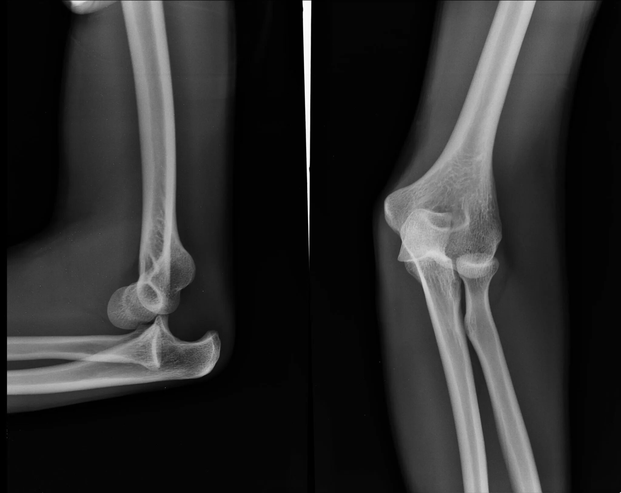
Подвывих локтевого сустава у ребенка