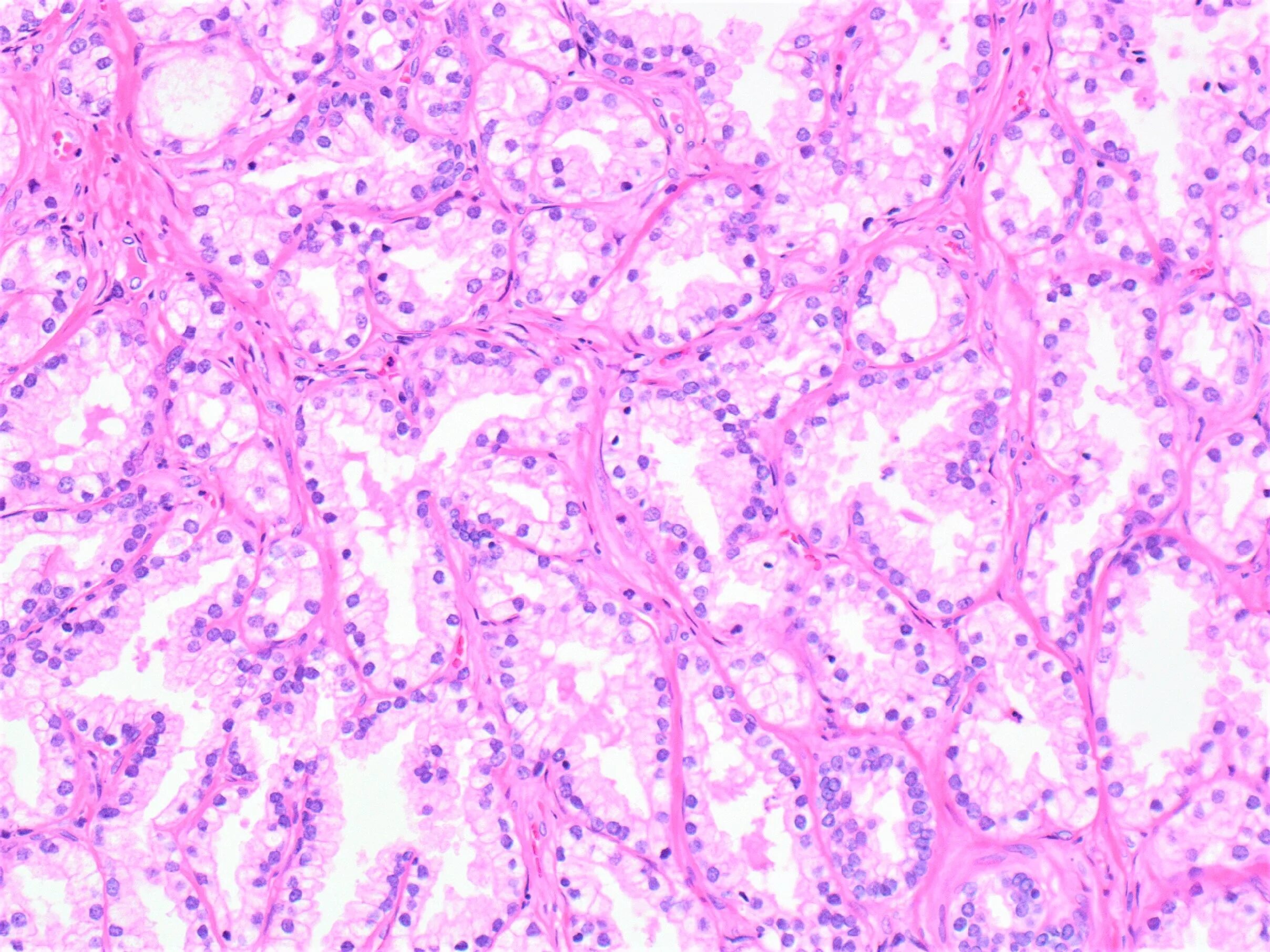
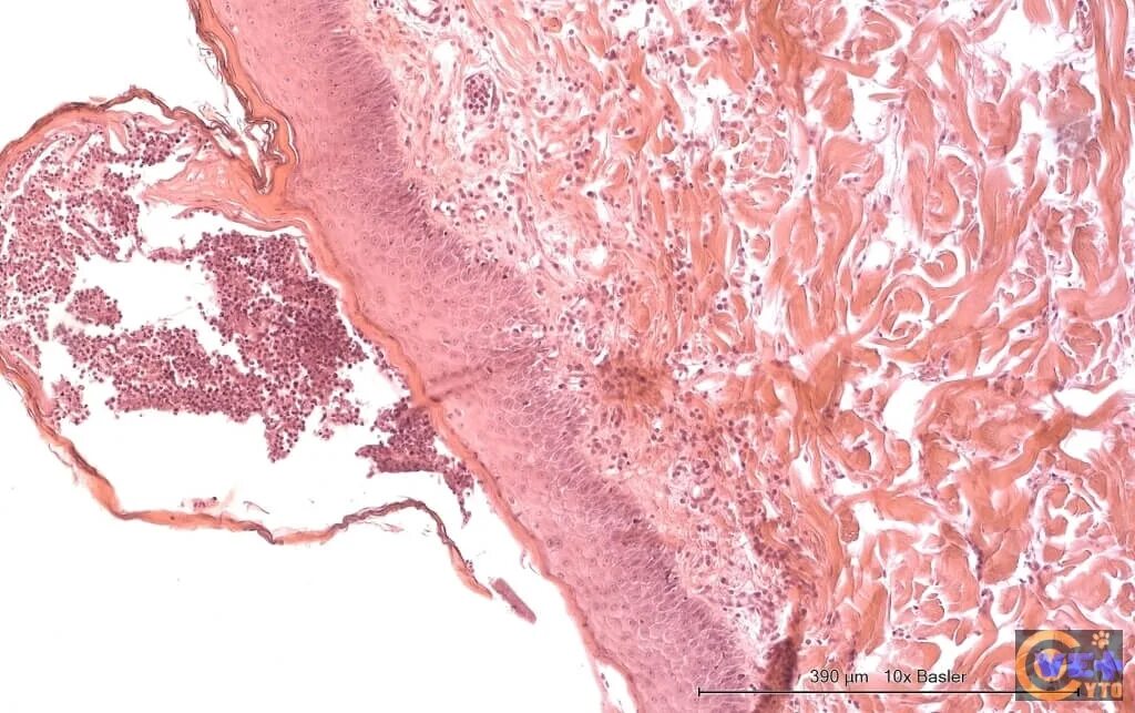
Подтверждена гистология