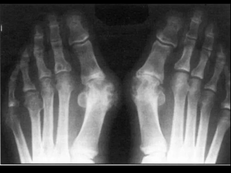
Подагра суставов стопы