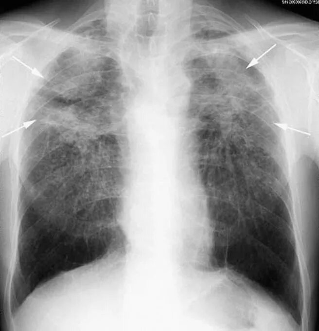
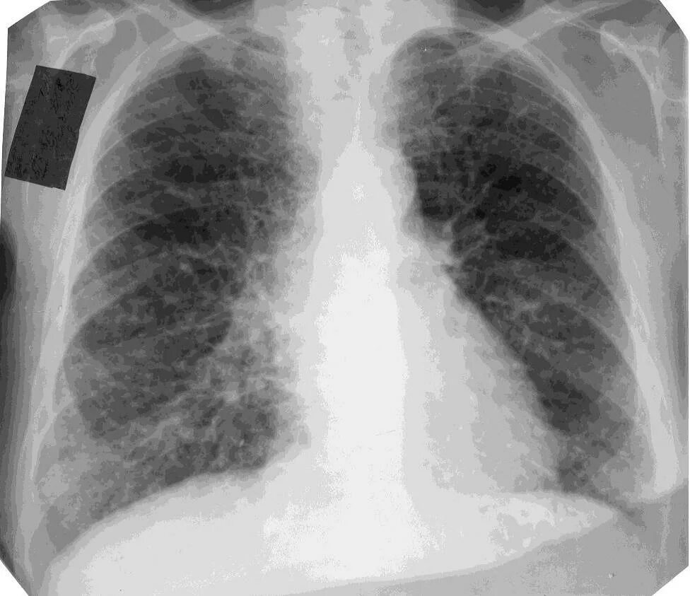
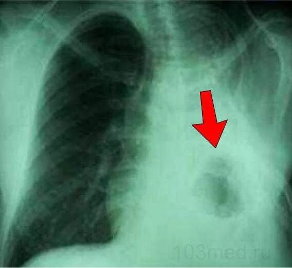
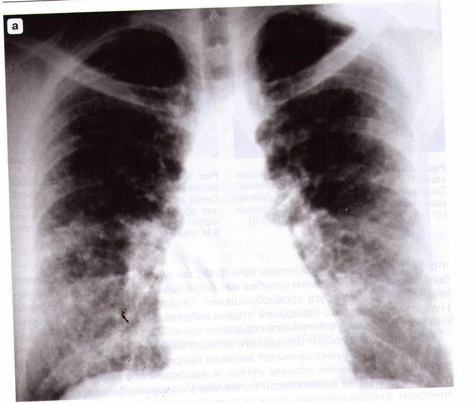
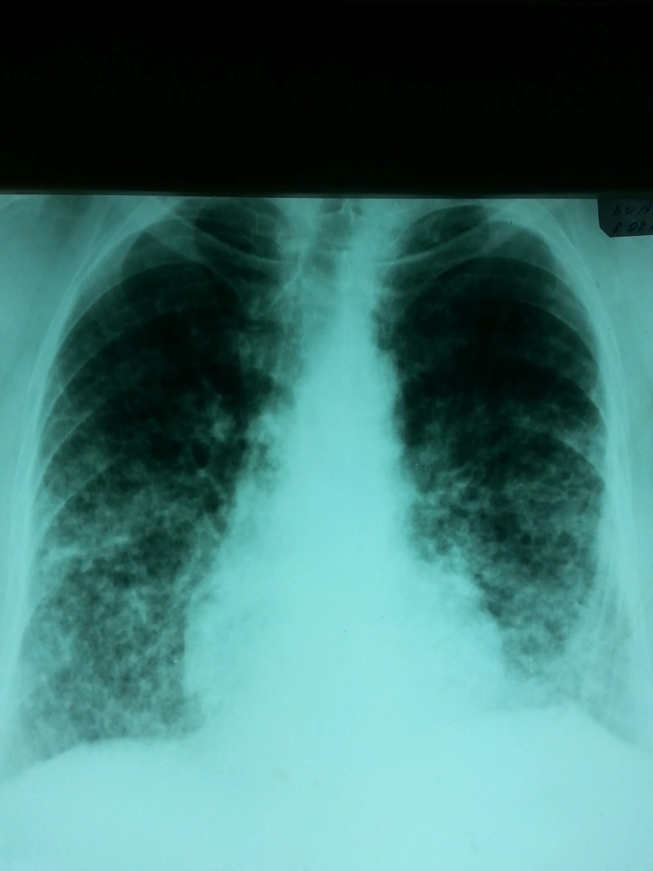
Пневмосклероз рентгенограмма