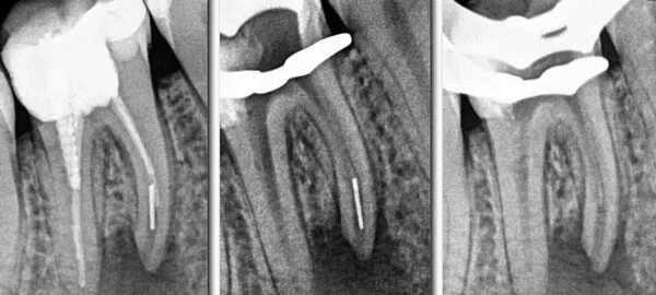
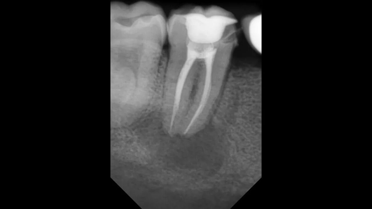
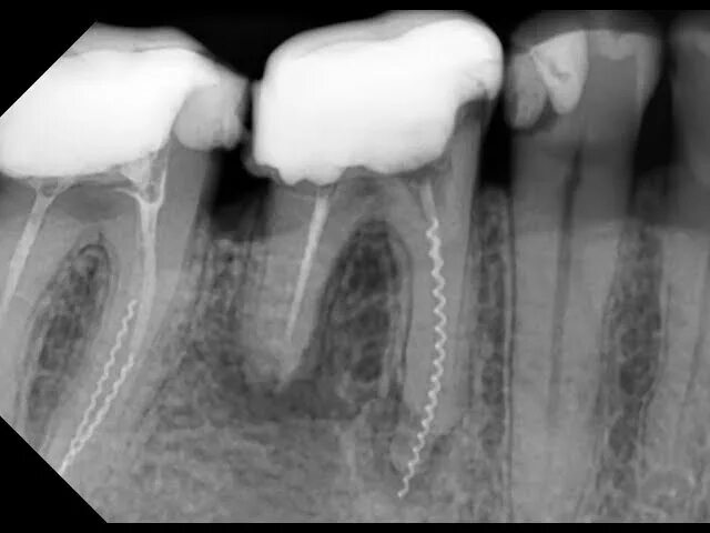
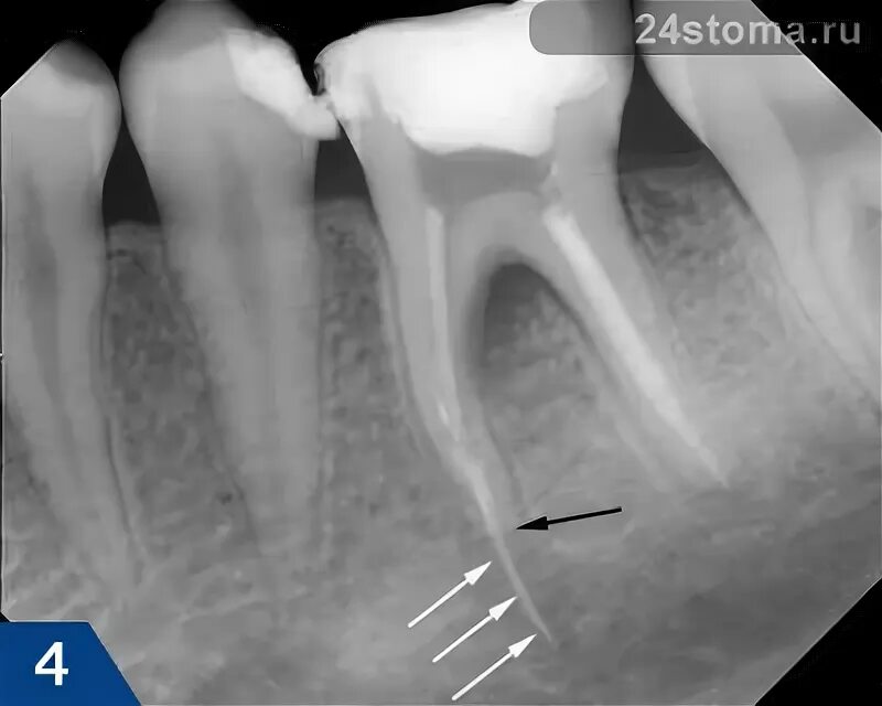
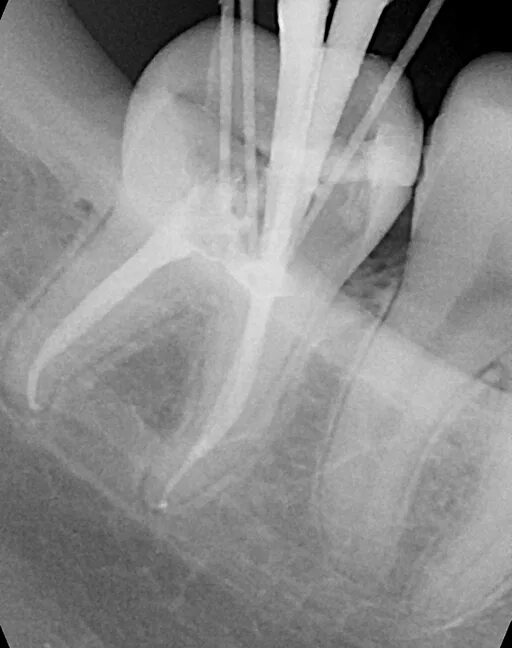
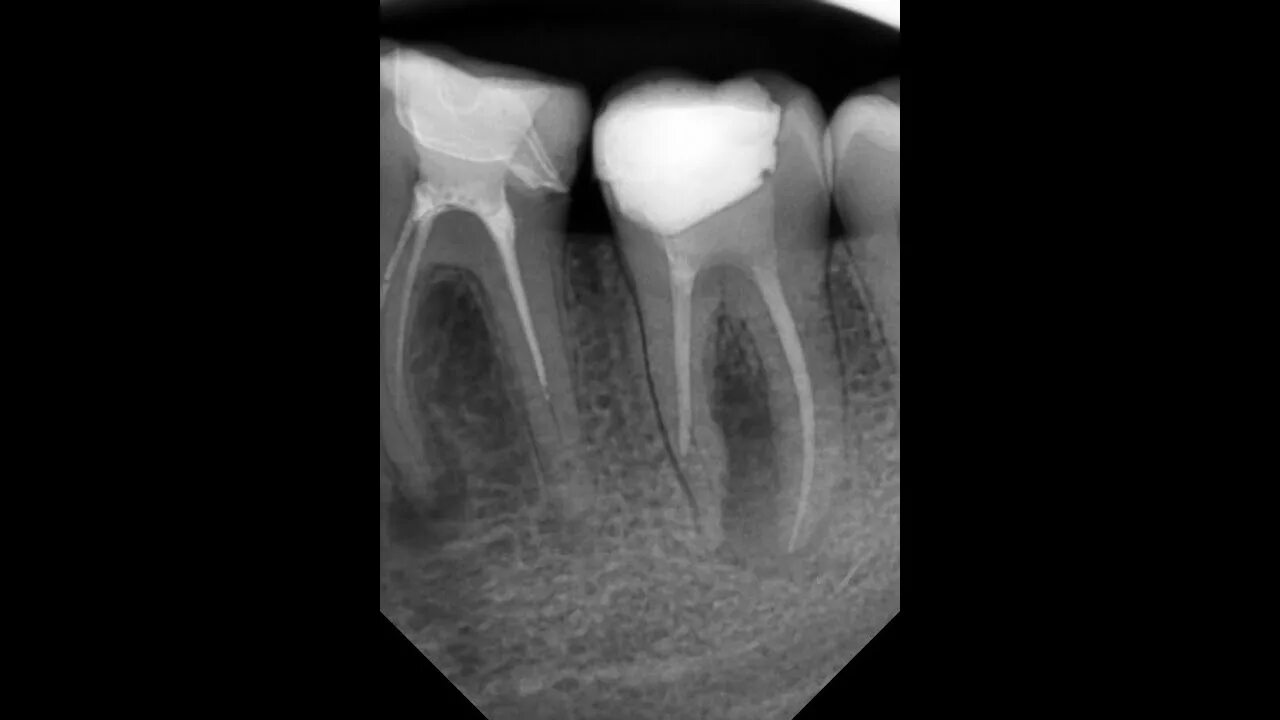
Пломбирование перфорации