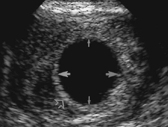
Плодном яйце не визуализируется эмбрион