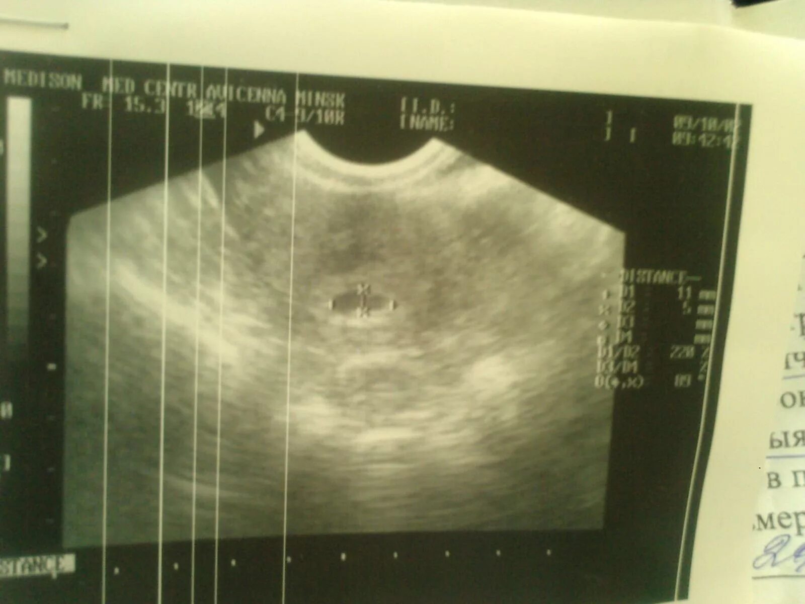
Плодное яйцо 3 мм