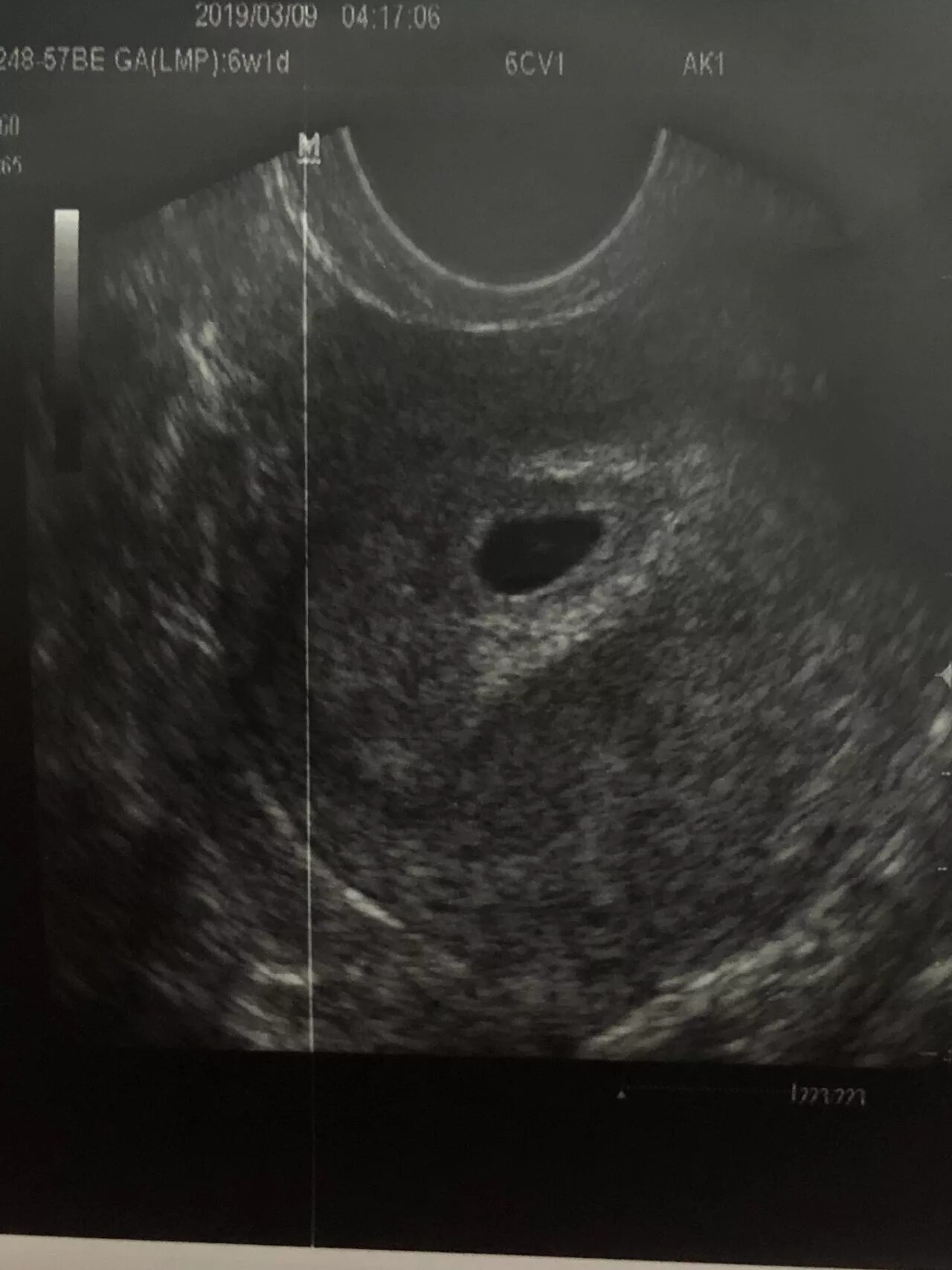
Плодное яйцо 1 5