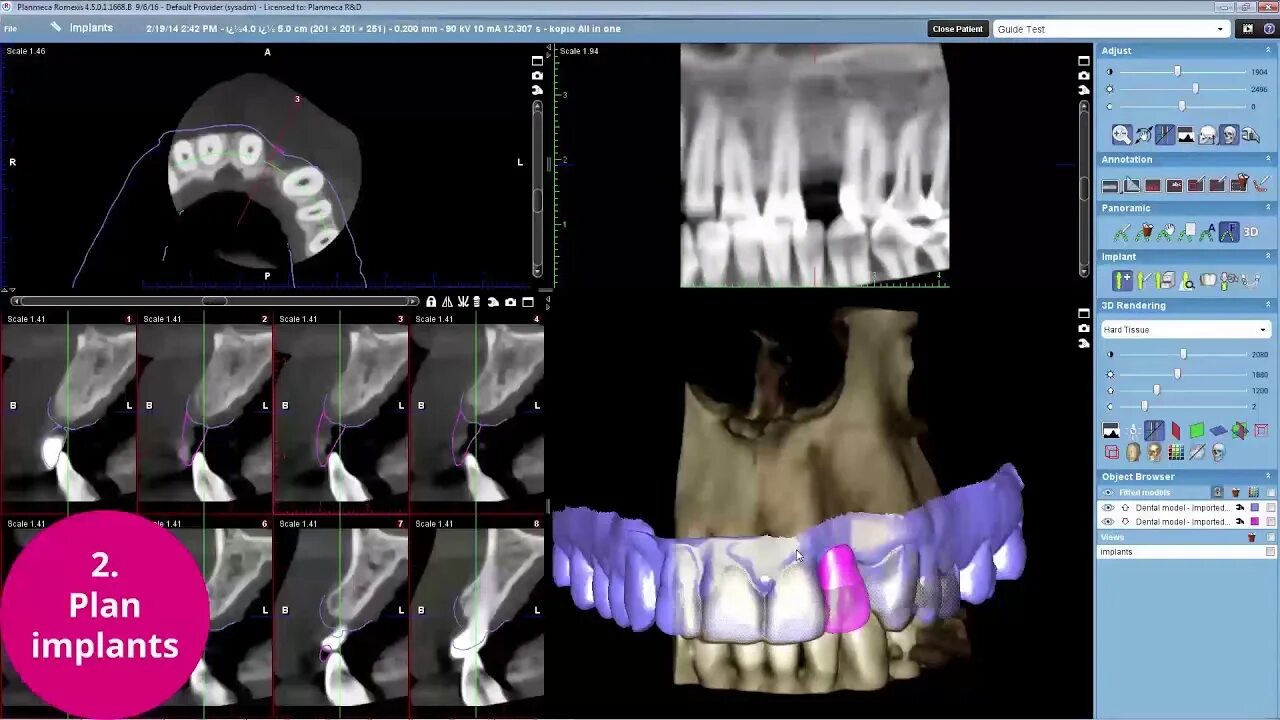
Planmeca romexis viewer