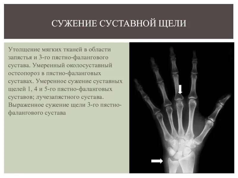
Первый запястно пястный сустав