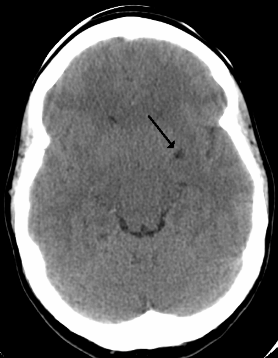
Периваскулярные пространства базальных ядер