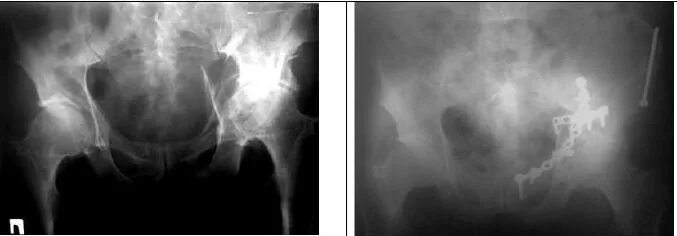
Перелом тазобедренной впадины