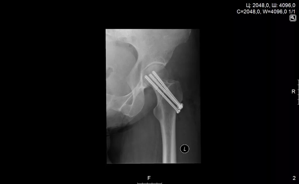
Перелом шейки бедра симптомы как определить