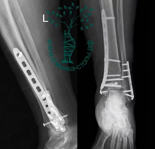
Перелом берцовой кости как разработать