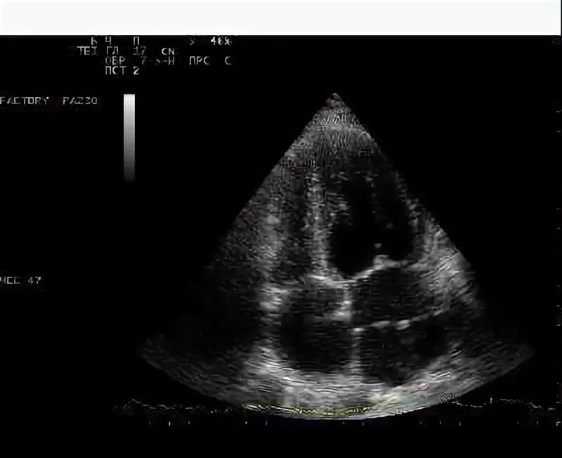
Перегородка в левом предсердии