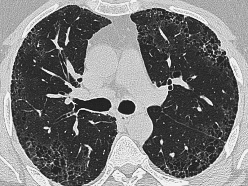
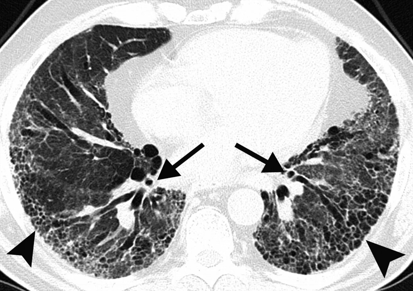
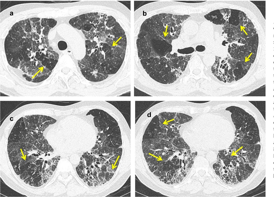
Паттерны легких