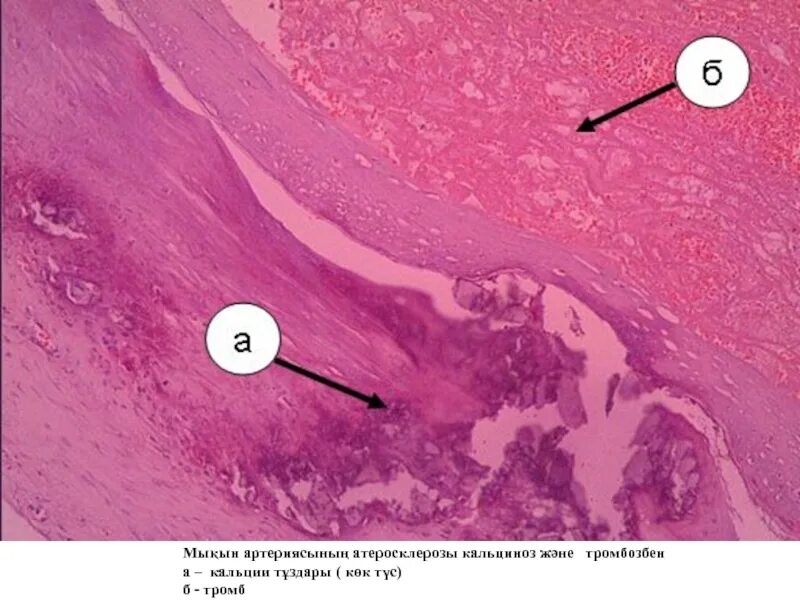
Отложение кальция