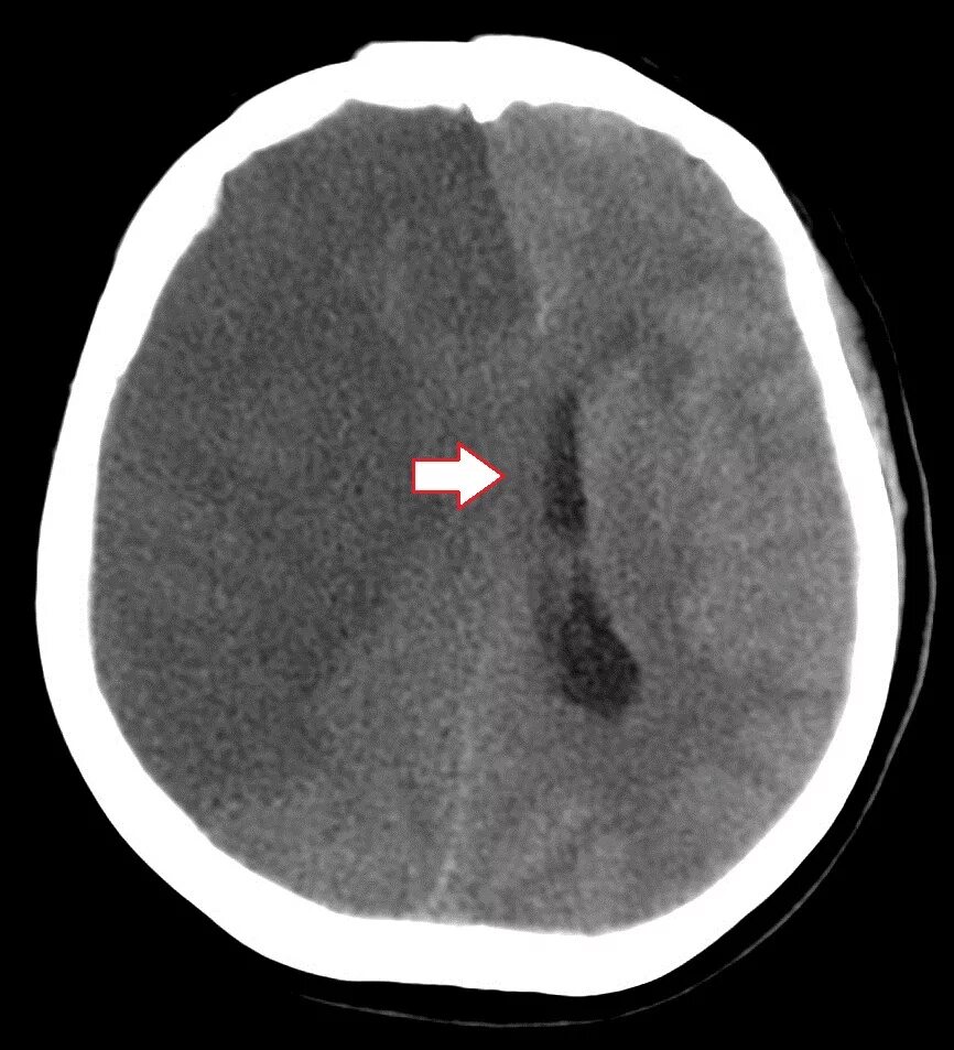
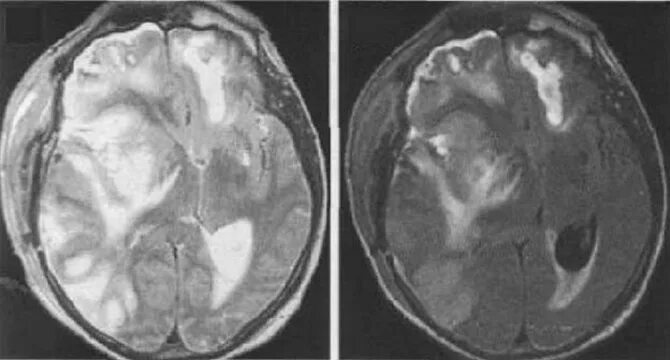
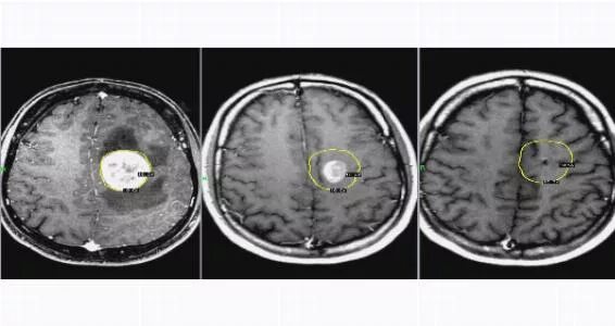
Отек головного мозга операции