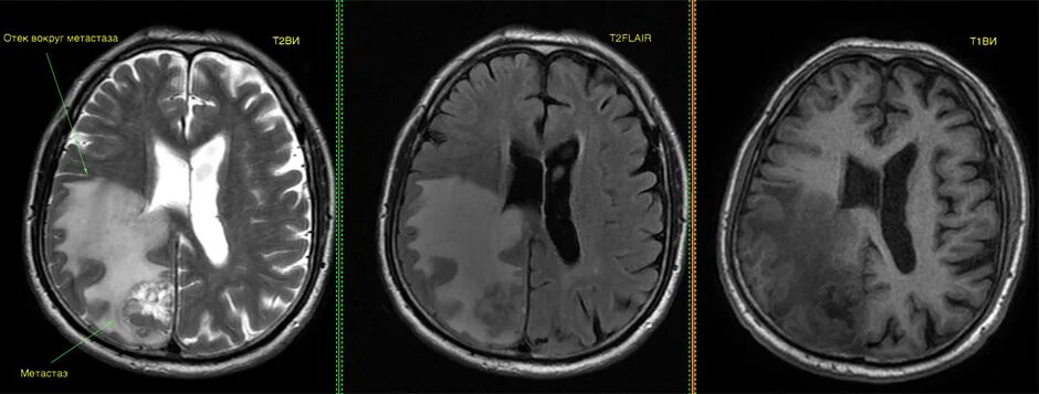
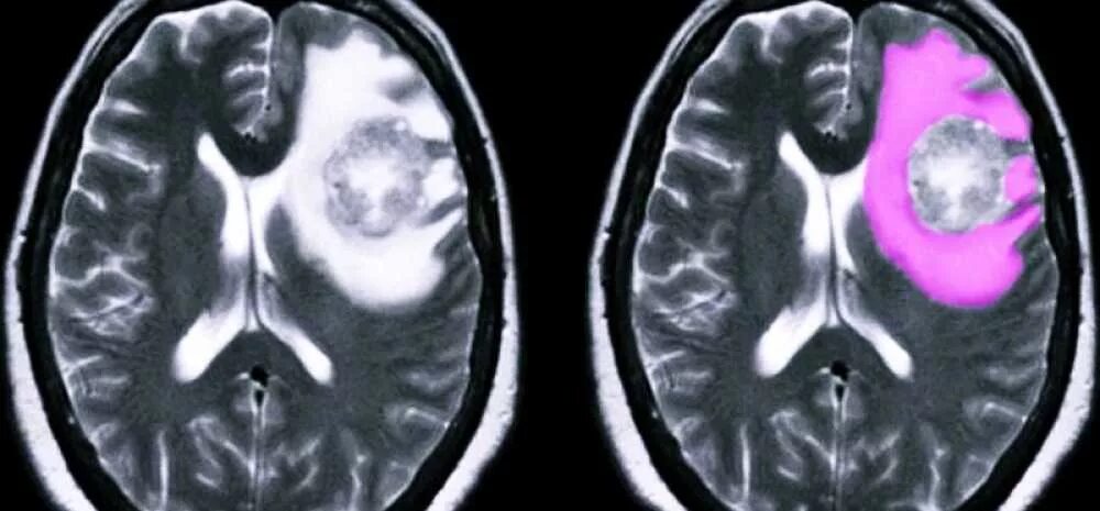
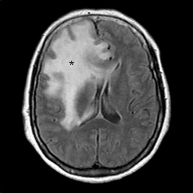
Отек головного мозга мрт