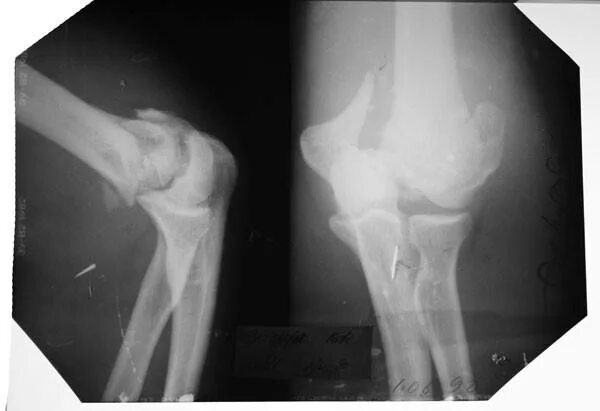
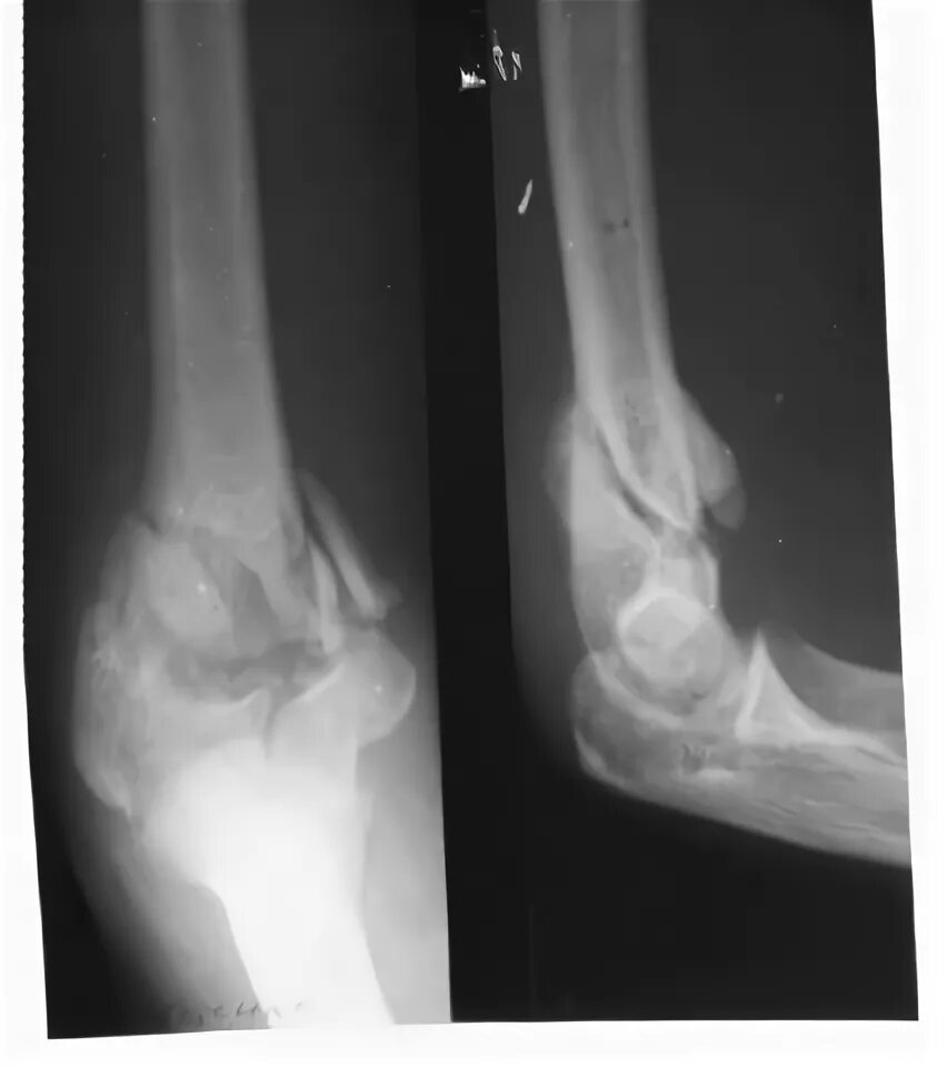
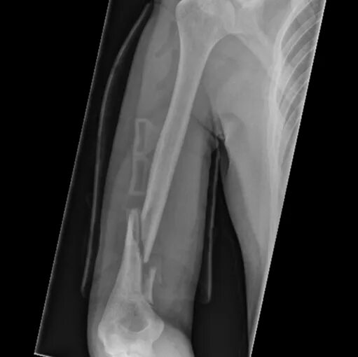
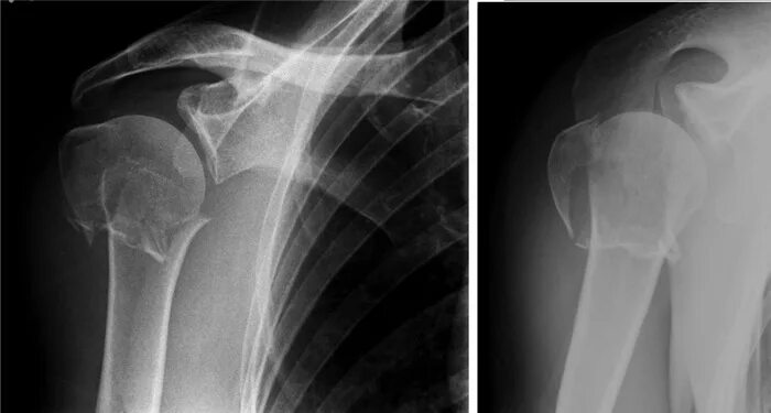
Оскольчатый перелом плеча со смещением