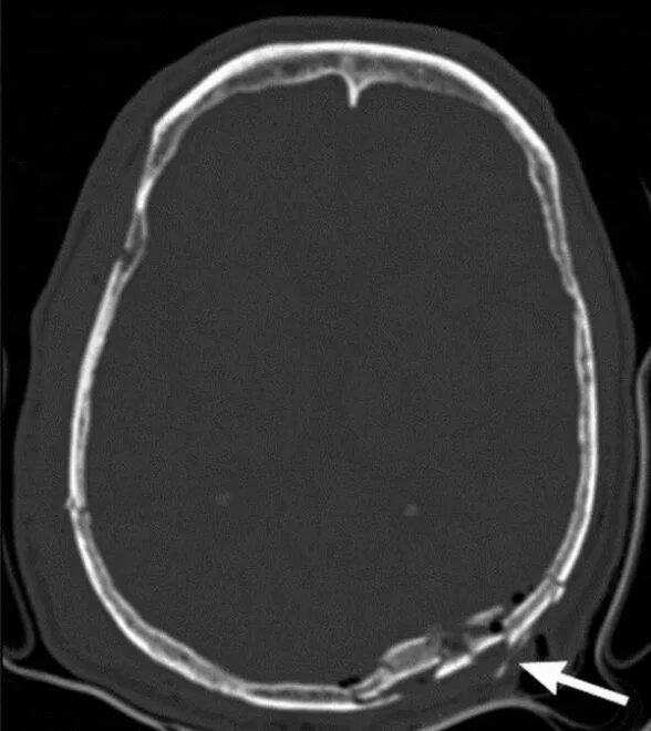
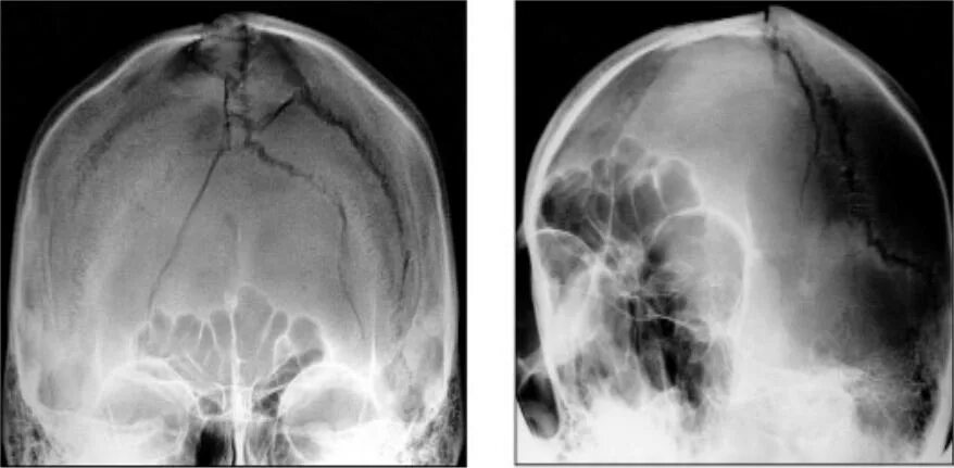
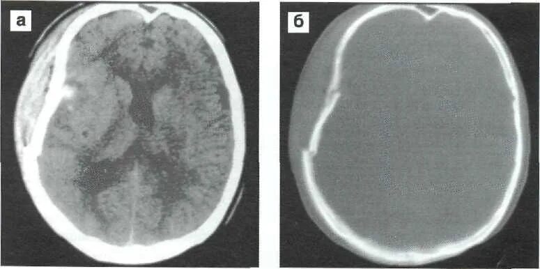
Оскольчатый перелом черепа