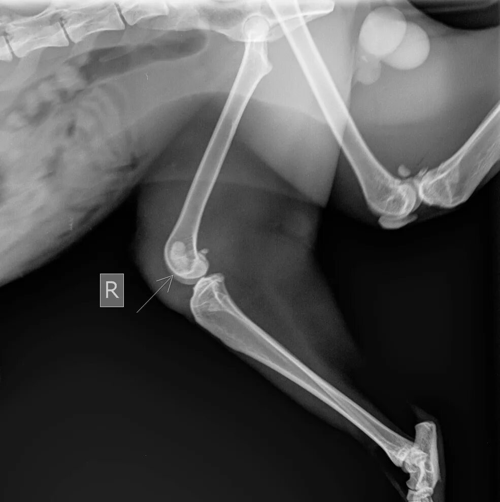
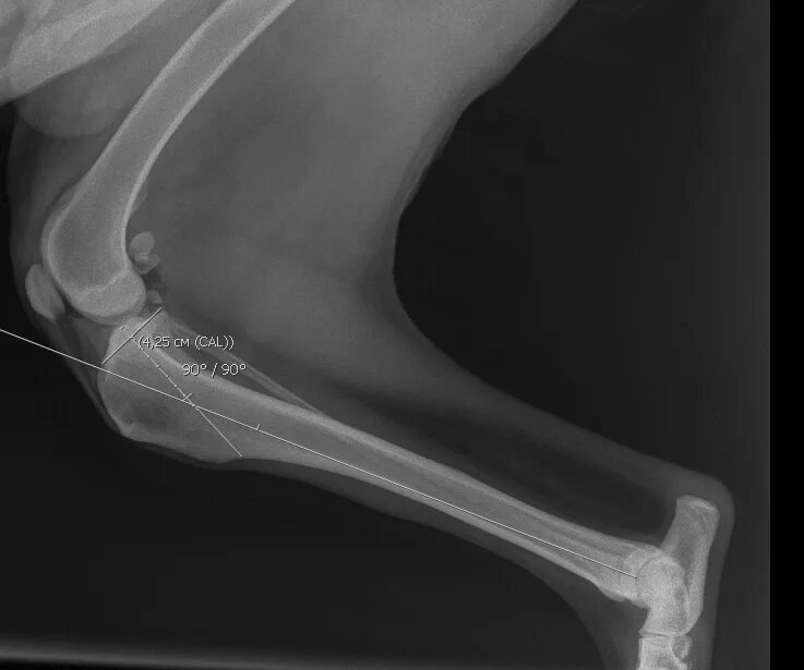
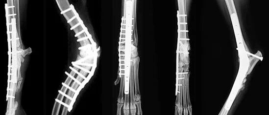
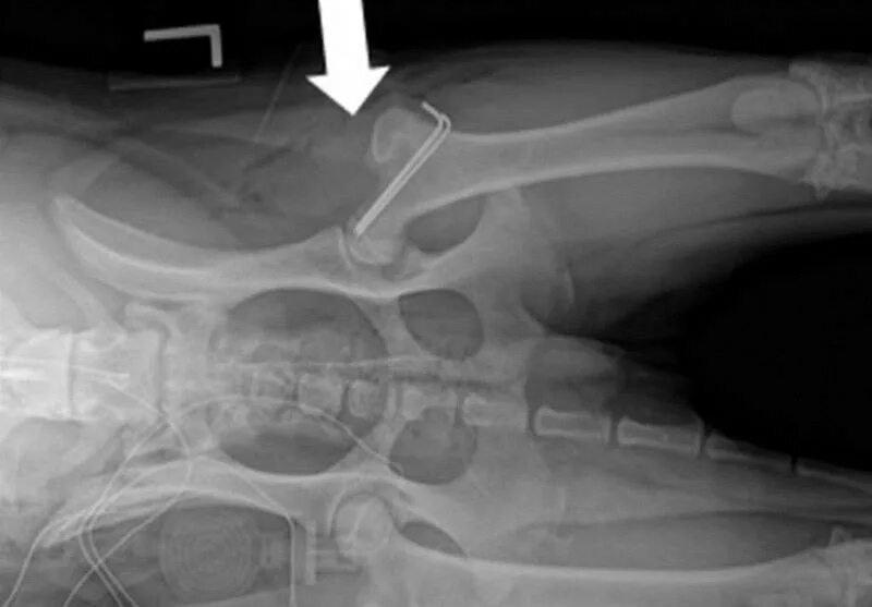
Операция суставов собак