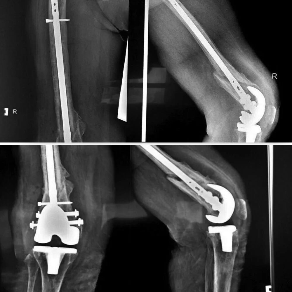
Операция эндопротезирование коленного