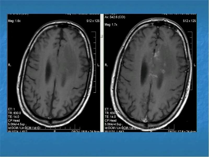
Очаговые и диффузные изменения вещества мозга