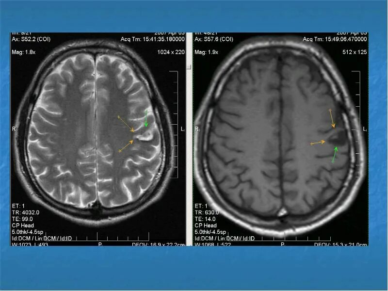
Очаговые диффузные изменения головного мозга