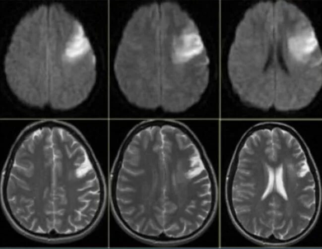
Очаги хронической ишемии головного мозга