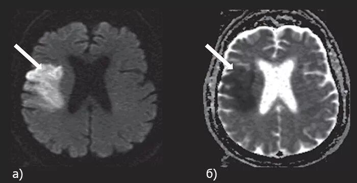
Очаг ограничения диффузии