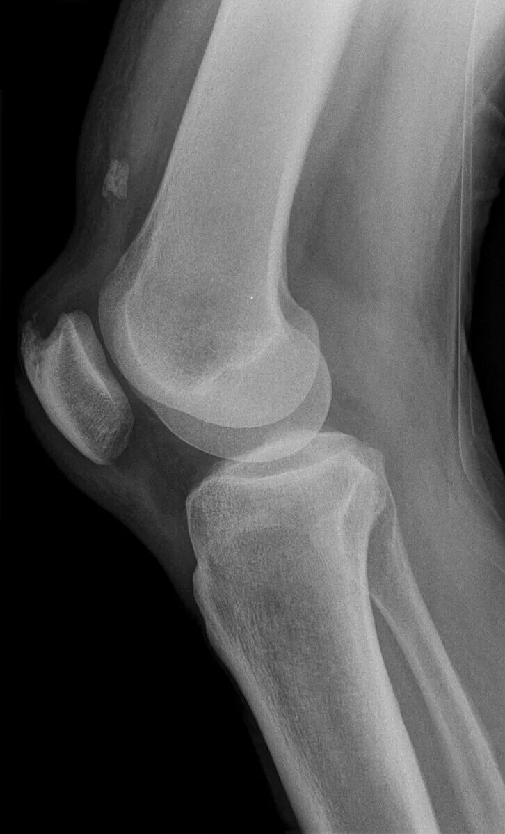
Обызвествление места прикрепления сухожилий