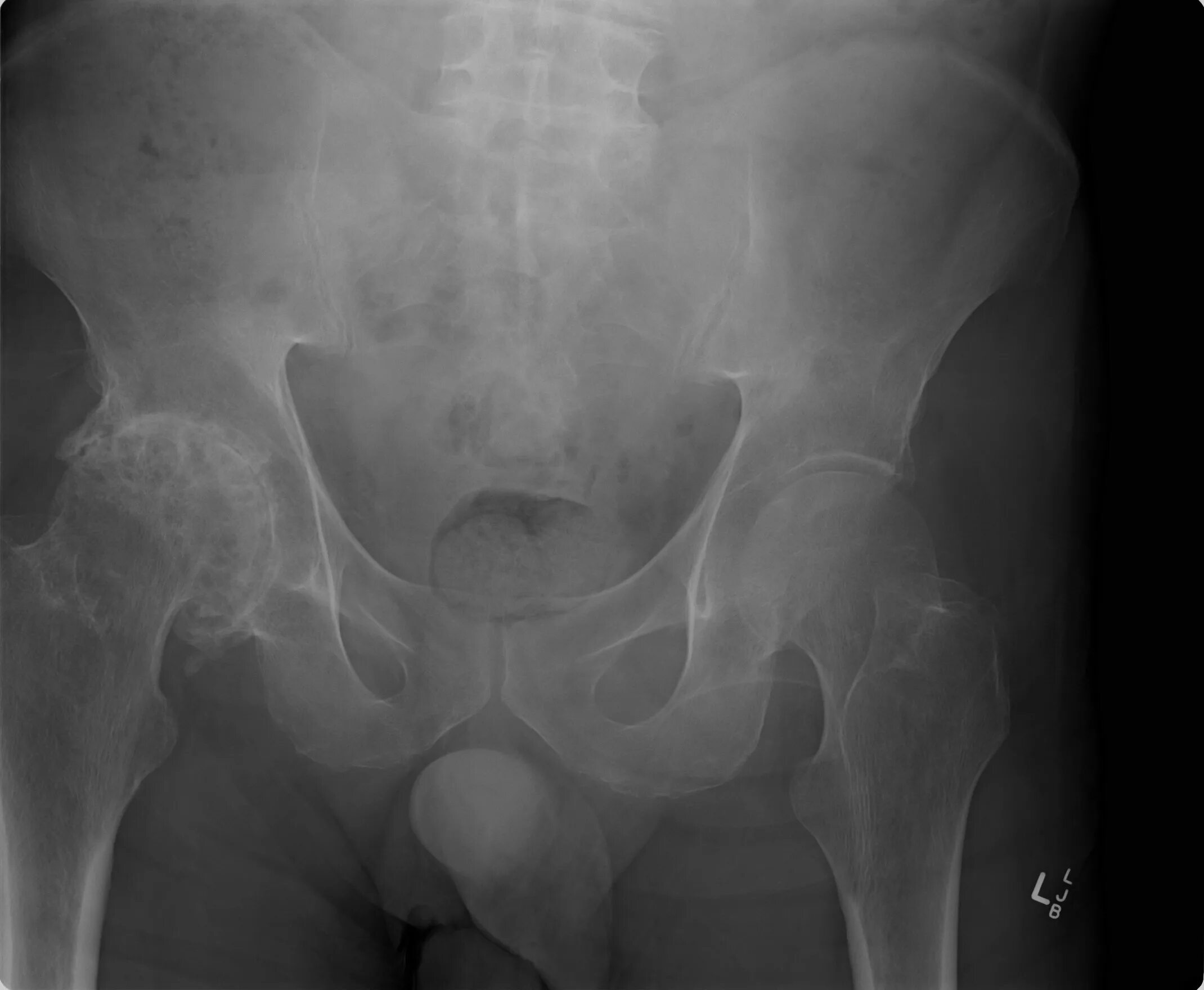
Обследование тазобедренного сустава