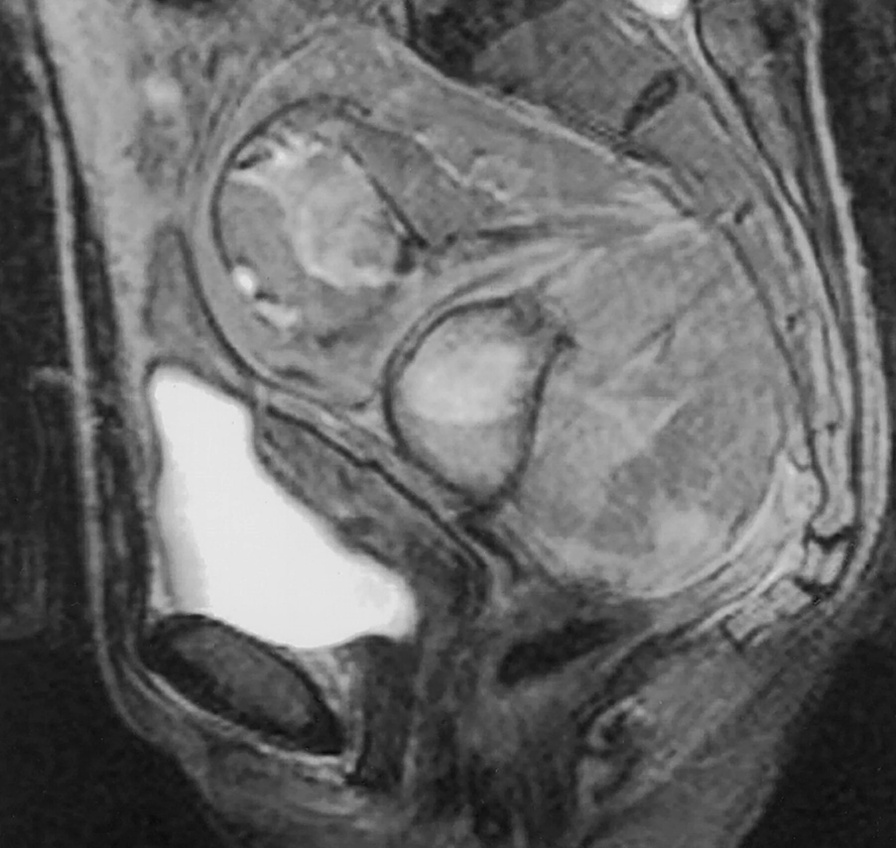
Образования малого таза мрт