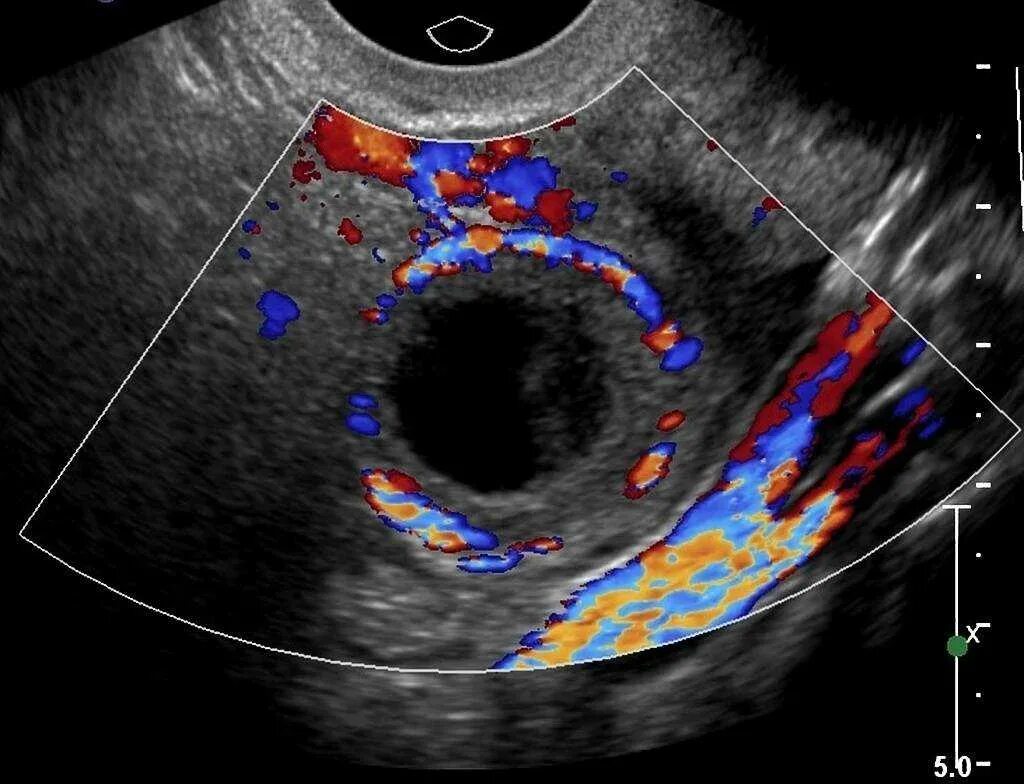
Образование анэхогенной структуры