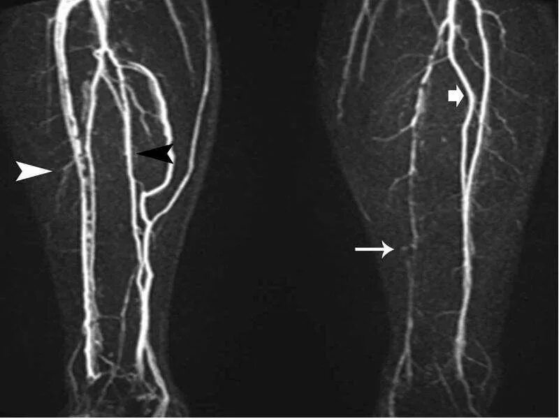
Облитирующий атеросклероз