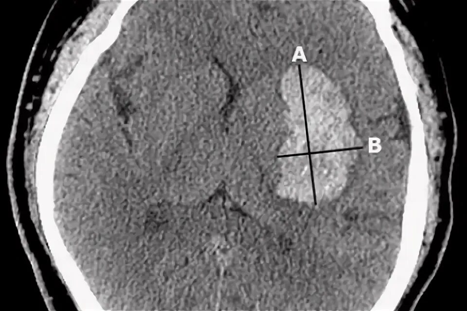
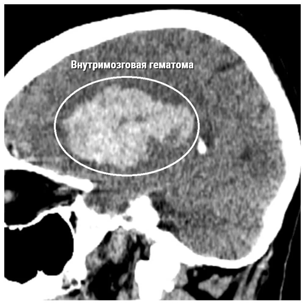
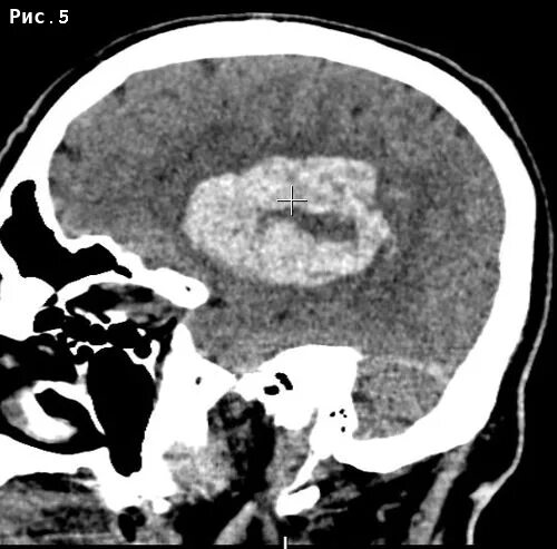
Объем гематомы на кт