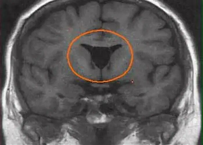
Незаращение листков прозрачной перегородки