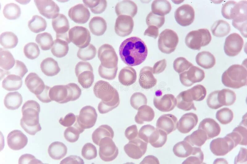
Нейтрофилы у собак что это