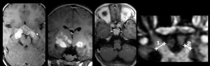
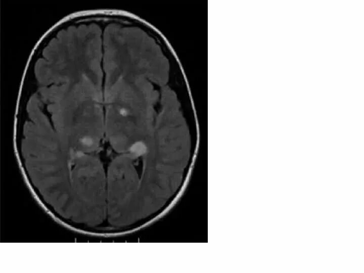
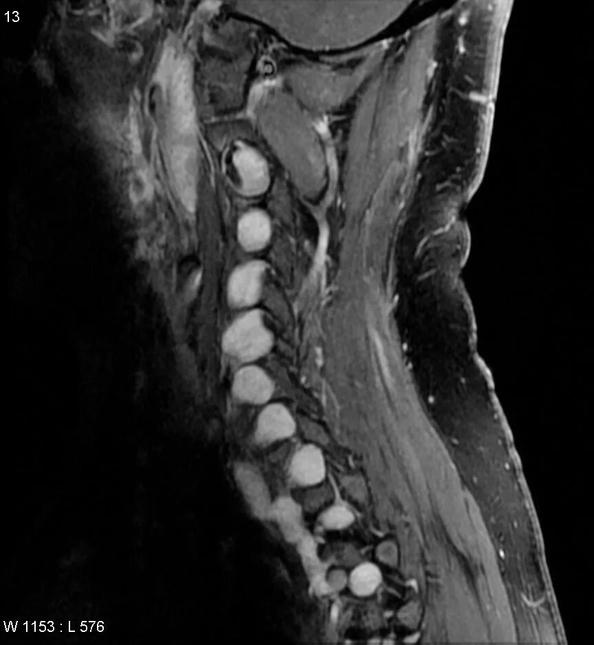
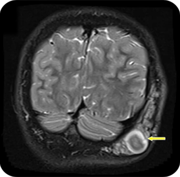
Нейрофиброматоз мрт