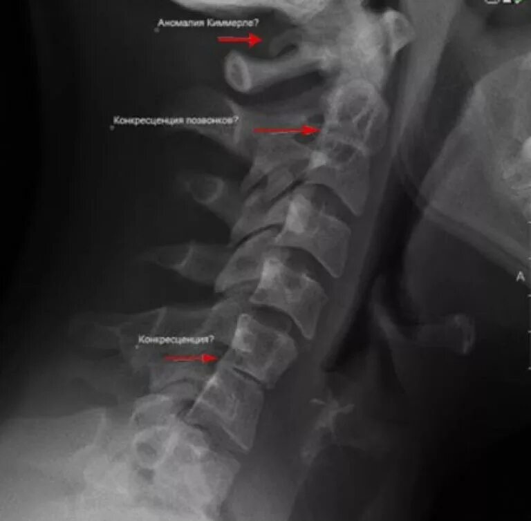
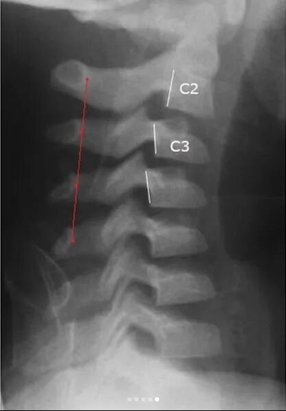
Нестабильность сегмента с3