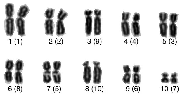
Несбалансированный кариотип